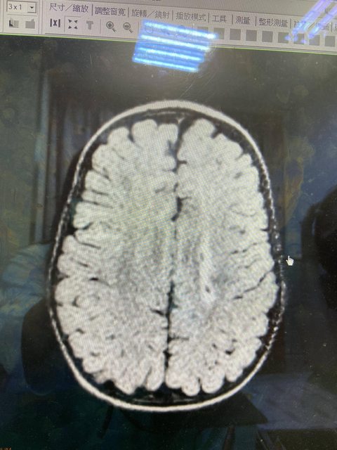
標題下的有點恐怖,板上好像也沒有相關文章,想把二寶的狀況分享給大家 二寶懷孕過程一切正常,有做羊膜穿刺、羊水晶片,高層次也都ok 37週整迫不及待的出生(剖腹產),出生一個月時照腦部超音波檢查,發現有兩側腦室不對稱的狀況,醫生說等長大一點再追蹤,當時上網查這狀況好像不是很嚴重?就沒有再多想 八個月大時,還沒辦法獨立坐穩,於是在家裏積極的練習坐姿(背後幫他撐著),九個月大時終於可以獨立坐穩。因為是送托嬰,老師也提醒二寶的右手右腳都「不太喜歡動」、「只用左手抓東西」、「爬行也都無法撐起」、「肚子貼地爬」,且前進時只會用左腳輔助,建議我們給醫生看一下 掛了馬偕的小兒復健科,醫生覺得有肌張力過高問題,診斷證明寫發展遲緩,安排復健課程,但小朋友的復健真的好難排,醫院至少要等半年,找了家裡附近的復健科,也是排了三個月才終於在前幾天上到第一次課 同時間我們掛了小兒神經科,醫生看到當時的超音波檢查報告,也幫我們再照了一次超音波(當時11個月大),發現左腦室有一個凹陷處,立刻安排三個禮拜後照核磁共振檢查 等到今天終於看到報告,發現左腦室有白質軟化症狀(醫生在診間是說「液化」) 醫生很溫柔的跟我們說 「MRI看起來,左腦有受過傷,還有殘留的血塊,這個發生的原因不明,白白的那塊叫做白質液化,在醫學上定義是腦性麻痺,但不用被這四個字嚇到,腦麻也是有非常輕微的。這塊損傷的神經不會恢復,所以右半身的大肢體動作會被影響,要持續的復健,建立肌肉記憶,看能不能補足,接下來定期回診觀察,目標追上其他小孩的進度」 https://i.imgur.com/rnjqk8V.jpg
看診完的心情有點複雜 不幸的是二寶真的有不可逆的腦傷,未來運動什麼的一定會受到影響…嗚嗚,媽媽沒有給你健康的身體 但不幸中的大幸是,二寶找到明確病因,而且腦部損傷不算太嚴重,只要積極復健,是有機會追上一般小朋友的! https://i.imgur.com/EXIUlzd.jpg
(我像是有腦傷的嗎?哈哈) 以上分享給各位爸爸媽媽 有覺得寶寶不對勁的,真的不要拖,一定要帶去檢查! -- Sent from nPTT on my iPhone 11 -- ※ 發信站: 批踢踢實業坊(www.ptt-website.tw), 來自: 114.45.174.187 (臺灣) ※ 文章網址: https://www.ptt-website.tw/BabyMother/M.1688723126.A.480
aracian : 推 07/07 17:46
Mail0528 : 寶寶一生平安健康 07/07 17:54
jimmy911112 : 推分享,祝福寶寶進步平安 07/07 17:56
chooooo12332: 謝謝願意分享 寶寶一生平安健康 07/07 17:56
euruing : 祝平安健康 07/07 18:09
Peycere: 包養不急於開始談感情。 07/07 18:09
alwayszzz : 寶寶好可愛~~祝你們一切順利平安 07/07 18:11
anobody : 祝寶寶平安健康長大 07/07 18:12
kath0814 : 媽媽加油,復健雖然辛苦又漫長但一定會改善的,可以 07/07 18:17
kath0814 : 搜尋我上週的發文,給你點信心,寶寶會追上來沒事 07/07 18:17
kath0814 : 的!然後想說,原來北部的復健課程這麼難排@@真的 07/07 18:18
vd422: 包養網結交跨國友誼。 07/07 18:18
kath0814 : 辛苦了!! 07/07 18:18
kyordy84562 : 祝寶寶平安長大,復健順利! 07/07 18:19
balaustine : 祝寶寶平安健康長大,復健順利 07/07 18:27
abcdcoolguy : 可愛寶寶~~一定沒問題的! 07/07 18:29
derrick0202 : 健康長大 07/07 18:29
lutano: 包養開心找到知己朋友。 07/07 18:29
greensdream : 推分享,我家也是兩個孩子都左後腦室角度偏大,一個 07/07 18:30
greensdream : 發展正常,一個基因異常腦神經正在病變發展遲緩。如 07/07 18:30
greensdream : 果醫院說要追蹤真的定期去追蹤,有時候病況有變化也 07/07 18:30
greensdream : 能及早發現跟治療。 07/07 18:30
jasonpork : 寶寶平安健康長大,辛苦媽媽了 07/07 18:31
muiwo: 包養平台關注對方需求。 07/07 18:31
xiaoing : 加油~住寶寶平安 07/07 18:41
Reeta : 祝寶寶健康平安長大,媽媽很棒 07/07 18:41
ankakaka : 祝寶寶平安健康長大! 07/07 18:42
joan810817 : 祝福寶寶平安長大 媽媽辛苦了 07/07 18:42
yu1989 : 平安長大! 07/07 18:44
sunuzo: 包養分析觀察約會狀態。 07/07 18:44
iamis : 祝福寶寶 早期祝寶寶平安長大 07/07 18:51
iamis : 歹勢 中間的字多打了 07/07 18:51
Jiuliano : 祝平安健康 07/07 18:54
ftcintaiwan : 祝平安健康順心 07/07 18:54
crims : 祝寶寶健康長大 07/07 18:56
UNIQC: 包養真心珍惜友誼情感。 07/07 18:56
bigknife : 祝寶寶平安長大 07/07 18:57
archangeangl: 祝寶寶健康長大,媽媽辛苦了,學齡前黃金期,會事 07/07 19:02
archangeangl: 半功倍 07/07 19:02
rearldom : 祝寶寶平安健康長大,早療早日順利畢業,媽媽辛苦了 07/07 19:04
amyismo : 不像!他很可愛很開心 只是辛苦你們了 07/07 19:08
dewaro: 包養網認識來自世界各地的朋友。 07/07 19:08
pip23330 : 祝寶寶平安 07/07 19:09
show12 : 祝寶寶平安健康長大 07/07 19:09
rannie30 : 祝福寶寶早日康復! 07/07 19:10
siaohua : 祝福寶寶平安健康長大! 07/07 19:21
judygirl : 祝福寶寶復健順利,健康長大! 07/07 19:21
Elfego: 包養輕鬆找到有趣的人。 07/07 19:21
clhien : 祝寶寶平安健康順利長大 07/07 19:21
wyndi : 祝福寶寶健康長大 07/07 19:22
hahaRegina : 祝福寶寶健康長大 07/07 19:22
cuteyimo : 寶寶好可愛 祝健康平安長大 07/07 19:28
yvette31 : 祝福寶寶平安健康長大 07/07 19:30
Nicodim: 包養平台找到心儀對象。 07/07 19:30
linds : 祝寶寶平安長大,順順利利! 07/07 19:32
ringcoke : 寶寶好可愛~祝平安長大~ (爸爸媽媽辛苦了! 07/07 19:45
im885636 : 可愛的寶寶笑得好開心 祝一生平安健康 07/07 19:48
Inerenee : 希望寶寶能夠健康平安長大 07/07 19:49
lisimanthus : 寶寶有你們當爸爸媽媽真好,未來一定會越來越好的 07/07 19:53
Foning: 包養分析了解對方想法。 07/07 19:53
lisimanthus : ,祝健康唷! 07/07 19:53
sashababie : 祝福寶貝平安健康 07/07 19:56
secret0523 : 祝寶寶平安長大! 07/07 19:57
antrina : 寶寶好可愛,祝平安長大 07/07 19:58
irising : 祝寶寶平安健康長大,有一定會好轉的 07/07 20:02
AKNY: 包養不急於著手感情發展。 07/07 20:02
hiayu : 祝福寶寶健康長大 07/07 20:08
amber0125 : 祝福寶寶健康長大! 07/07 20:26
chiaoerdong : 祝平安健康,復健順利! 07/07 20:26
ni7842 : 祝福寶寶平安健康長大 07/07 20:26
sodaing : 祝福寶寶平安快樂長大喔 07/07 20:30
mysister: 包養網結交全球友人。 07/07 20:30
ru64 : 祝寶寶平安長大,爸媽都加油! 07/07 20:36
coolmark01 : 加油,能早療真的會追上其他小朋友的 07/07 20:37
afe7127 : 祝福寶寶健康長大 07/07 20:44
ccathy2076 : 祝寶寶平安健康長大 他笑的很開心呢 07/07 20:49
pinkchi : 祝福寶寶復健順利 07/07 20:52
cir72: 包養開心找到知心朋友。 07/07 20:52
lovesmallc : 祝福寶寶一切平安順利健康長大噢 07/07 20:52
v830424 : 祝寶寶平安健康長大! 07/07 20:54
debian99 : 祝福寶寶復健順利 07/07 20:54
elaymutter : 寶寶很可愛 07/07 20:57
pearlQQ : 希望會好起來,加油 07/07 20:58
ATrain: 包養平台警惕網路詐騙。 07/07 20:58
diodeboy : 祝寶寶一生平安 07/07 21:06
hank12332 : 加油,努力復健一起前進 07/07 21:11
zictroy : 寶寶加油!! 會跟上大家健康長大的 07/07 21:20
kyliej2002 : 寶貝一定會追上大家的,一生平安、健康快樂 07/07 21:20
phrglot : 祝福寶貝平安健康 07/07 21:22
grado0802: 包養分析細心研究對象。 07/07 21:22
forbeat : 加油,寶寶一定會健康長大的 07/07 21:22
juneann : 祝福寶寶復健順利、一生平安! 07/07 21:25
imjoanne : 祝福寶貝一生平安 07/07 21:28
dotspf : 祝福寶寶平安健康長大 07/07 21:29
Staylightcan: 祝寶寶平安長大! 07/07 21:29
smilejin: 包養真心投入友誼。 07/07 21:29
cherish940 : 謝謝分享,祝寶寶平安健康長大,辛苦妳了 07/07 21:30
misa1015 : 謝謝分享,祝寶寶平安健康長大 07/07 21:34
lilychichi : 祝福寶寶平安長大 07/07 21:34
BLUEXBLACK : 祝福寶貝平安健康,加油加油! 07/07 21:35
lecheck : 加油! 07/07 21:36
qusekii: 包養網推薦有趣的包養活動。 07/07 21:36
es750339 : 寶寶可愛~ 07/07 21:38
ILUKCY : 祝福寶寶平安健康長大 07/07 21:41
naooki : 祝寶寶平安 07/07 21:43
yyyycccc : 願寶寶平安健康,ㄧ切順心。 07/07 21:46
chenroseyaks: https://www.youtube.com/watch?v=iQDjSxfgM0I 07/07 21:47
Y949731: 包養輕鬆找到共同興趣的朋友。 07/07 21:47
qozp02 : 寶貝可愛祝福他平安健康長大 07/07 21:47
youbee : 謝謝分享,祝寶寶平安健康長大喔! 07/07 21:48
chenroseyaks: 看看影片中14m30s開始的小純出生時的大腦掃描,幾乎 07/07 21:49
chenroseyaks: 是空白的,每個醫生都會說他看不見聽不見也不能動 07/07 21:50
chenroseyaks: 不過他剩下的大腦承接所有功能,變得跟一般小孩一樣 07/07 21:51
T730733: 包養平台尋找志同道合的人。 07/07 21:51
Hanneke : 眼睛好漂亮!祝寶寶健康平安長大! 07/07 21:51
sakula081700: 祝寶寶平安長大 07/07 21:51
chenroseyaks: 所以你的寶寶希望很大喔! 07/07 21:51
dahuei : 寶寶好可愛~祝福他平安健康長大! 07/07 21:53
vicky625 : 祝福寶寶健康長大 07/07 21:55
FireStation: 包養分析深入了解對方心思。 07/07 21:55
Malcha : 我們是腦出血,努力復健中,加油加油 07/07 22:01
apple413 : 祝福寶寶平安健康長大 07/07 22:05
she520328 : 祝福平安健康 07/07 22:07
yuvery38 : 祝寶寶平安健康順利長大~ 07/07 22:07
emilysweet : 祝福寶寶平安健康長大 07/07 22:10
Thobel: 包養不急於展開感情關係。 07/07 22:10
Wizardash : 祝寶寶平安健康長大 07/07 22:11
Eous : 祝福寶寶平安健康 07/07 22:13
edda20047 : 寶寶超可愛的,祝平安健康長大 07/07 22:15
littlewendy : 寶寶平安健康 07/07 22:19
KooLi : 加油 祝寶寶健康平安長大 07/07 22:22
Reji: 包養網結交國際知音。 07/07 22:22
panda8877 : 祝福寶貝平安健康 07/07 22:23
amyg812 : 加油 祝平安長大 07/07 22:23
goodhappy : 謝謝分享!這麼可愛的寶寶一定會平安健康長大! 07/07 22:24
chting1988 : 祝寶寶平安長大 07/07 22:25
jtrbill : 寶寶很可愛! 一定可以康復的! 07/07 22:28
Hathael: 包養開心結交知心好友。 07/07 22:28
aassdd55 : 祝寶寶平安健康長大 07/07 22:34
naxe : 祝寶寶平安長大 07/07 22:34
Capufish : 祝寶寶平安健康長大 07/07 22:34
avexgroup : 可愛!加油喔! 07/07 22:39
bbqqhaha : 祝福寶寶平安健康長大!加油加油!! 07/07 22:40
yovroc: 包養平台規劃特殊約會。 07/07 22:40
maryegg : 祝福寶寶平安健康 07/07 22:42
zerotwo : 祝寶寶平安健康長大 07/07 22:43
nqj : 寶寶一定會平安健康長大 07/07 22:43
demitri : 祝寶寶平安 07/07 22:44
huiang111 : 加油!寶寶很可愛一定沒問題 07/07 22:45
helgalie: 包養分析觀察對方情緒變化。 07/07 22:45
double11 : 祝福寶寶一生平安健康 07/07 22:47
in176 : 寶寶跟爸媽都好勇敢,祝平安健康長大 07/07 22:47
chopper52045: 祝福寶貝們平安健康長大喔~ 07/07 22:48
zero2miffy : 祝寶寶平安健康長大,復健一切順利! 07/07 22:49
Cardasakg : 祝寶寶平安健康 07/07 22:50
OREOMZA: 包養真心對待異性好友。 07/07 22:50
balaenoptera: 祝福寶寶平安健康 07/07 22:52
k272821 : 祝寶寶平安健康 07/07 22:53
princessru : 寶寶很可愛!一定會健康長大! 07/07 22:53
chicflower : 祝寶寶復健順利!平安健康快樂長大呦! 07/07 22:55
sfatina : 寶寶平安健康長大! 07/07 22:55
punjab: 包養網交流來自世界各地的朋友。 07/07 22:55
iwtfly : 祝福寶寶平安健康長大! 07/07 22:59
stella1023 : 祝福寶寶健康長大 07/07 23:01
veakoma : 祝福寶寶平安長大,媽媽家長們也辛苦了 07/07 23:03
Tatami4931 : 祝福寶寶平安健康 07/07 23:08
Hannamoney : 寶寶加油,祝你健康 07/07 23:11
sashare: 包養輕鬆找到有趣的異性朋友。 07/07 23:11
gold08 : 祝寶寶平安健康 07/07 23:11
ynnus : 祝福寶寶平安健康長大喔 07/07 23:11
tony0910 : 祝寶寶復健順利,平安健康長大! 07/07 23:12
itsmichelle : 祝福寶寶平安健康長大! 07/07 23:12
girl1015 : 祝福寶寶平安健康 07/07 23:14
sijiex: 包養平台遇見心儀對象。 07/07 23:14
becky5237 : 祝寶寶平安健康長大 07/07 23:15
flysissy : 祝福可愛寶寶平安健康長大! 07/07 23:19
lunatich : 祝寶寶平安健康長大 07/07 23:19
chibachild : 祝寶寶平安快樂長大 07/07 23:19
neverleave9 : 祝福寶寶健康長大 07/07 23:27
VLADINA: 包養分析掌握共同興趣。 07/07 23:27
wwwwkkkkk : 祝福寶寶平安長大 07/07 23:29
wulu0420 : 謝謝分享 希望寶寶健康長大 07/07 23:33
gigola : 祝福寶貝 持續早療會進步追上的 07/07 23:33
amberbow : 祝寶寶平安健康長大!超可愛 07/07 23:35
messfang : 祝寶寶平安健康長大! 07/07 23:36
odemagus: 包養不急於追求感情進展。 07/07 23:36
judy0323 : 好可愛的孩子 平安健康喔 07/07 23:36
lavender0502: 祝福寶寶平安健康長大! 07/07 23:39
soupki : 祝寶寶復健順利,健康長大! 07/07 23:43
jklbnm : 寶寶好可愛啊!祝你健康平安長大 07/07 23:44
hsuichia : 加油 一定會健健康康長大! 07/07 23:44
yes500: 包養網結交世界各地的朋友。 07/07 23:44
chechewei : 祝福寶寶平安健康! 07/07 23:44
cathhy : 祝復健順利、寶寶健康平安! 07/07 23:44
girl96632 : 祝福寶寶平安健康快樂長大。 07/07 23:45
momo740304 : 祝寶寶平安健康長大 07/07 23:51
dolphin15 : 祝福寶寶健康長大 07/07 23:52
alexantiy: 包養開心結交知心異性友人。 07/07 23:52
mie78312 : 祝寶寶平安順利健康長大!媽媽也辛苦了 07/07 23:52
MRHAUNG : 平平安安長大喔! 07/07 23:56
taco933 : 平平安安長大 07/07 23:59
bbuda : 努力復健 一定有機會 加油 期待您的好消息! 07/08 00:00
tmjs1994 : 辛苦爸媽寶寶了!祝你們健康平安幸福 07/08 00:06
sowrey: 包養平台詳細了解對方。 07/08 00:06
bluesea1106 : 祝福寶寶平安長大 07/08 00:10
wuting0106 : 平安健康長大 07/08 00:12
opi00opi : 祝福寶寶平安健康長大 07/08 00:18
blauani : 祝福寶寶平安健康! 07/08 00:18
SIGMA621 : 祝福寶寶平安健康~ 07/08 00:22
cw758: 包養分析注意對方言行。 07/08 00:22
irainie : 祝寶寶平安健康長大! 07/08 00:23
twins3345678: 推 媽媽加油 寶寶加油 07/08 00:29
owei0404 : 推 謝謝分享 辛苦了 07/08 00:29
eeuueee : 不知道該不該問左腦受過傷這句話… 07/08 00:30
simbr : 祝孩子復健順利 平安長大 07/08 00:30
ludi: 包養真心對待友誼情感。 07/08 00:30
wayne110095 : 祝福寶寶平安健康長大 07/08 00:32
hetoto1210 : 祝平安健康長大 07/08 00:34
moresunyo : 祝福寶寶平安健康長大! 07/08 00:35
maggie831 : 祝福寶寶健康長大,一切順利 07/08 00:38
toroann : 祝福寶寶平安健康長大! 07/08 00:46
peernut: 包養網擴展國際包養 07/08 00:46
qpig : 祝福寶寶平安健康長大! 07/08 00:46
areare38 : 祝孩子能平安長大 07/08 00:54
fishpolar : 祝福平安健康 07/08 00:55
potcat1111 : 祝寶寶平安健康長大!媽媽也辛苦了! 07/08 01:00
woohoo1127 : 祝福寶寶平安健康長大! 07/08 01:03
xikimi: 包養輕鬆找到志同道合的朋友。 07/08 01:03
qq1217 : 祝平安健康長大 07/08 01:04
absabs0123 : 祝寶寶平安健康長大 07/08 01:05
cherylsilent: 祝寶寶平安健康長大! 07/08 01:08
ck502933 : 祝寶寶平安健康成長 07/08 01:10
abbkg : 加油,健康平安 07/08 01:14
Avero: 包養平台找到心靈契合的人。 07/08 01:14
jilllue0907 : 推分享!寶寶超級可愛呀~希望早療復健順利,健康平 07/08 01:16
jilllue0907 : 安開心長大! 07/08 01:16
lovefriends : 祝福寶寶平安健康長大 07/08 01:18
hsindy : 祝寶寶平安健康一切都能順利 07/08 01:19
whitefire : 祝寶寶平安健康長大!辛苦了! 07/08 01:25
ejoz: 包養分析洞悉對方心思。 07/08 01:25
tatak5220220: 好可愛!祝福小朋友 07/08 01:27
a0952864901 : 祝可愛寶寶平安健康 07/08 01:29
tina1112 : 祝福寶寶平安健康長大,復健成功會追上其他小朋友 07/08 02:06
tina1112 : 的,爸爸媽媽也辛苦了~加油 07/08 02:06
saiko727 : 祝平安,孩子加油! 07/08 02:29
FishRoom: 包養不急於開始談感情。 07/08 02:29
zwindyme : 祝福寶寶平安健康長大 07/08 02:40
yuyukuo0205 : 祝寶寶一生平安 媽咪辛苦了 07/08 02:47
bernicela : 祝福寶寶平安健康長大 07/08 02:58
pinkmaples : 祝寶寶平安健康快樂成長 07/08 03:03
ComicFan : 祝寶寶一生平安,謝謝分享 07/08 03:09
KsiR: 包養網結交跨國友誼。 07/08 03:09
paginwu : 祝福寶寶平安健康長大 07/08 04:36
Uinguing : 加油 祝寶貝平安長大 07/08 05:42
abcdaazs : 祝福寶寶健健康康:) 07/08 06:03
kumakumaptt : 加油!祝平安健康 07/08 06:11
alexmein : 寶寶平安 07/08 06:37
peoples: 包養開心找到知心朋友。 07/08 06:37
allesgute88 : 祝復健順利 寶寶可愛 07/08 06:38
Singing : 祝寶寶平安健康長大 07/08 06:39
adf2315 : 祝平安健康 07/08 07:18
weihana : 推分享,祝福寶寶健康平安 07/08 07:31
joan0419 : 祝寶寶平安健康長大 07/08 07:37
wilmer: 包養平台關注對方需求。 07/08 07:37
jickey : 推分享,幼兒復健費時費力,祝你們一切順利! 07/08 08:04
yishu : 寶寶加油!健康平安的長大! 07/08 08:30
qwer015 : 祝福寶寶一生平安健康 07/08 08:40
roger717 : 加油 07/08 08:52
loveywc : 平安長大!好可愛的寶貝 07/08 08:59
badlip: 包養分析觀察約會狀態。 07/08 08:59
hooyo : 祝福寶寶平安快樂健康長大 07/08 09:01
BonnieQ : 祝寶寶平安健康長大! 07/08 09:07
bottomcat : 祝福寶寶平安健康長大! 07/08 09:13
why01 : 祝平安健康長大! 07/08 09:15
TDuncan : 祝 寶寶後續復健順利 07/08 09:21
piggyoil: 包養真心珍惜友誼情感。 07/08 09:21
vickigto : 祝寶寶平安健康長大 07/08 09:24
TTNT : 祝早日恢復健康 這看來是投胎帶來的 非父母問題 07/08 09:27
chervil : 寶寶好可愛,一定會平安健康的長大的 07/08 09:35
ggghhi : 寶寶可愛~祝寶寶未來平安健康 07/08 09:39
love2ne1 : https://i.imgur.com/58mmUO6.jpg 07/08 10:01
TwixBar: 包養網認識來自世界各地的朋友。 07/08 10:01
love2ne1 : https://i.imgur.com/Y4l9FuW.jpg 07/08 10:01
spiii1245 : 可愛的寶寶,加油 07/08 10:08
vissar : 祝寶寶健康平安長大,父母也辛苦了 07/08 10:39
Pin65 : 謝謝分享 願寶寶平安健康長大媽咪辛苦了 07/08 10:39
lulu9604 : 祝福寶寶平安健康長大! 07/08 10:43
boggicer: 包養輕鬆找到有趣的人。 07/08 10:43
xspider : 寶寶平安長大 07/08 10:45
melody1218 : 祝後續復健一切順利! 07/08 10:46
myanko : 祝福寶寶平安健康長大 07/08 11:06
ada1988 : 加油! 07/08 11:55
mm520mm : 祝福寶寶平安健康快樂長大 07/08 12:03
Chiason: 包養平台找到心儀對象。 07/08 12:03
qqsaka : 寶寶這麼可愛,會平安的 07/08 12:06
fishcome : 祝寶寶平安健康長大 復健順利 07/08 12:22
kimuraeki : 好可愛好陽光的寶寶!祝健康平安!照顧者辛苦了! 07/08 12:43
owenwang1029: 祝寶貝平安健康長大! 07/08 13:16
ilovemebc : 可愛寶寶加油喔! 07/08 13:40
Markell: 包養分析了解對方想法。 07/08 13:40
mayday2005 : 祝福寶寶 (抱) 07/08 13:48
l3m702 : 加油 祝寶寶平安健康長大 07/08 13:52
kaorukei : 寶貝好可愛!爸媽加油~祝福寶寶健康平安長大 07/08 13:53
moonpie : 寶寶很可愛 祝寶寶平安長大 07/08 14:02
jill50521 : 祝寶寶平安健康長大 07/08 14:04
fuoya: 包養不急於著手感情發展。 07/08 14:04
setomoku : 謝謝分享,祝福成長順利。 07/08 14:12
hyacinth21 : 祝福寶寶平安健康長大,謝謝分享 07/08 14:26
miuca : 謝謝分享,積極復健並祝健康長大 07/08 14:32
cara5659 : 寶寶 加油 07/08 15:16
shiau0615 : 祝福寶寶,會越來越好的!寶寶好可愛,笑容超療癒 07/08 15:29
Apasiri: 包養網結交全球友人。 07/08 15:29
shiau0615 : 的。 07/08 15:29
bogooeiu : 祝寶寶平安健康長大 07/08 17:33
kilumira567 : 祝福寶寶平安長大,復健順利 07/08 17:45
yufachi : 祝寶寶健康平安!! 07/08 18:07
arley : 媽媽跟寶寶都很棒,祝福健康平安~ 07/08 18:09
litidi: 包養開心找到知心朋友。 07/08 18:09
DAKOU : 好可愛 07/08 18:31
sabs2 : 一定會健康長大 07/08 18:55
TousBaby : 寶寶加油 07/08 19:23
momotoro : 祝寶寶平安健康長大,復健順利 07/08 19:25
jasmine723 : 祝福可愛的寶寶平安健康長大 07/08 19:31
Merzario: 包養平台警惕網路詐騙。 07/08 19:31
winniecsw : 祝福寶寶平安長大,持續早療很重要,除了醫院,也可 07/08 19:31
winniecsw : 以找要自費的,可以看所在縣市的補助額度去安排 07/08 19:31
Evonne11 : 祝寶貝平安健康長大 07/08 19:31
aaucysg : 祝寶寶平安健康長大 07/08 19:36
uuxgxrx : 祝寶寶平安健康長大 07/08 19:40
Muzaffer: 包養分析細心研究對象。 07/08 19:40
im015 : 寶寶很可愛,爸媽勤勞配合早療,孩子一定會進步很 07/08 20:06
im015 : 快,一起加油! 07/08 20:06
TSLA9999 : 祝寶寶平安健康長大! 07/08 20:11
Brenda7419 : 祝福寶寶健康平安長大 07/08 20:39
moonwind1130: 推 祝福寶寶平安健康長大 辛苦了! 07/08 20:42
MIJice: 包養真心投入友誼。 07/08 20:42
shesaid : 祝寶寶平安健康長大 07/08 20:48
ingrid0913 : 祝福寶寶平安健康長大 07/08 21:03
GrassPeace : 祝福平安健康,孩子好可愛 07/08 21:15
noraming : 祝福寶寶平安健康長大 07/08 21:26
icemei2008 : 祝福寶寶平安健康的長大。 07/08 21:40
SpyTime: 包養網推薦有趣的包養活動。 07/08 21:40
yumorning : 祝福寶寶健康長大 07/08 21:43
loischune : 祝寶寶平安健康長大 07/08 22:00
CCarolineOuO: 祝寶寶平安快樂健康長大哦! 07/08 22:17
ladyku : 推分享,寶寶經過復健會好起來的! 07/08 22:25
originafake : 平安健康長大! 07/08 22:53
Toth: 包養輕鬆找到共同興趣的朋友。 07/08 22:53
adelly : 祝福寶寶平安健康長大 07/08 23:18
anessa : 祝寶寶平安健康長大 07/08 23:55
codnit : 媽媽寶寶加油,一切平安健康! 07/09 00:01
KARENPP : 寶寶好可愛喔~祝福他平安健康 07/09 00:04
panda77315 : 祝福寶寶平安健康長大!媽媽辛苦了 07/09 00:16
Asterix: 包養平台尋找志同道合的人。 07/09 00:16
mikanmika : 祝寶寶平安健康長大 謝謝分享 07/09 00:30
jialingbaby : 祝福寶寶平安健康 07/09 00:31
pamela03 : 祝福寶貝復健順利平安長大,寶寶的笑容很可愛 07/09 00:56
tea01 : 祝福寶寶平安健康長大! 07/09 02:23
aboutbow : 祝福寶寶平安健康長大~ 07/09 02:52
AdamShi: 包養分析深入了解對方心思。 07/09 02:52
imclihy : 祝寶寶健康長大 07/09 05:31
ivershan : 祝福寶寶健康平安 開心長大! 07/09 06:30
Sourxd : 祝寶寶平安長大 07/09 06:43
cting : 祝福寶寶健康平安 07/09 08:39
loveclarinet: 祝寶寶健康平安長大 07/09 10:15
lezabo: 包養不急於展開感情關係。 07/09 10:15
Reddin : 看到「嗚嗚 媽媽沒有給你健康身體」就流淚了 07/09 13:08
Reddin : 這就是媽媽偉大的地方,明明不可控卻會自責 07/09 13:08
Reddin : 祝福寶寶會順利復健 平安長大 07/09 13:09
Reddin : 看到第二張照片的標語又笑了,媽媽很有幽默感 07/09 13:09
eana : 寶寶有你們當爸爸媽媽是個好運的小孩 祝福一切順利 07/09 15:17
silberger: 包養網結交國際知音。 07/09 15:17
machete : 祝福寶寶平安健康! 07/09 16:27
toshiba5566 : 寶寶健康長大平安! 07/09 17:49
simata : 加油。復健後一定會好好的 07/09 20:38
sa198600 : 祝寶寶平安快樂長大 07/09 20:56
s915034 : 祝寶寶平安健康長大 07/09 21:06
xayile: 包養開心結交知心好友。 07/09 21:06
fardola : 祝福寶貝平安健康 07/09 21:51
ooarieloo : 祝寶寶平安健康長大 07/09 23:02
expansions13: 祝寶寶平安健康長大,復健順利! 07/09 23:26
juchan : 祝寶寶平安健康長大 07/09 23:33
melodynoon : 寶寶很可愛!笑容好美!祝福寶寶平安健康!加油 07/09 23:42
cazo: 包養平台規劃特殊約會。 07/09 23:42
BEAUTY3140 : 祝寶寶平安健康長大 07/10 00:05
weiweiway : 祝福寶寶健康平安長大! 07/10 05:24
archangeangl: 祝寶寶復健順利。平安長大 07/10 09:27
sep75920 : 寶寶好可愛 07/10 10:28
indoman : 祝復健順利 父母辛苦了加油 07/10 12:02
izilo: 包養分析觀察對方情緒變化。 07/10 12:02
num8 : 辛苦了~祝福一切順利~ 07/10 13:47
lillianyo : 寶寶很可愛,希望健康平安長大 07/10 15:09
milktealuv : 寶寶可愛 祝他平安健康長大~ 07/10 15:13